医療3Dモデルのノイズ除去事例

HOME

>

導入事例

>

医療3Dモデルのノイズ除去事例

徹夜で、データのノイズ除去を行っていませんか?

DICOMデータのノイズ除去は思っているより時間と労力がかかり、その間他の業務もできなくなります...。 データノイズ除去にかかる「その時間、有効活用しませんか?」

ホッティーポリマーではデータをアップロードするだけ!

現状、3Dデータのノイズ除去は手間と時間がかかり、また十分に除去が出来ていない場合3Dプリントする際の失敗のリスクが高まります。 ホッティーポリマーではデータをアップロードするだけで専門知識を持ったプロ集団がノイズ除去が行いますので、そんな心配は要りません!

ホッティーポリマーを使う3つのメリット

プロ品質の仕上がり

ノイズ除去の専門チームが 高精度に対応

データ送信だけで完結

手軽・スピーディに 高品質3Dモデルを実現!

作業時間を大幅短縮

面倒な処理をまるごとお任せ

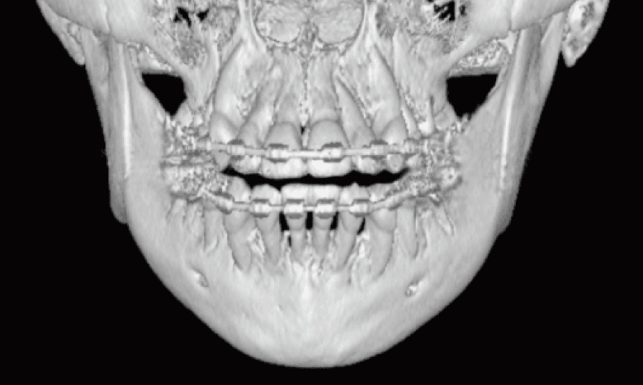
極限にノイズを減らした高品質な3Dデータが提供可能です 例えば、頭蓋骨のモデルでは、細部までクリアに表現され、医療現場での使用に耐えうる品質をご提供できます。

オリジナルデータ

ノイズ除去後データ

Medical 3D Model
Medical 3D Model
Medical 3D Model
Medical 3D Model

3Dデータノイズ除去

保険適用の場合

12,000円~

(税抜)

CTデータスライス厚

0.5〜2mm 推奨

※データの状況により、対応できない場合があります。

受注タイミング平日10時迄のご依頼で当日受注確定
納品5〜7営業日
カテゴリー

ノイズ除去

保険以外の自費一般診療にも対応いたします! まずはお問い合わせください!

まずはお問い合わせください

・カタログ請求
・保険適用外の自費一般診療の対応も可能

他の事例を見る

3Dプリントのみのご依頼や、 ノイズ除去と3Dプリントを同時に行う ご依頼も承ります。

Copyright © HOTTY POLYMER inc. All Rights Reserved.